Homeदेश-विदेशही 5 लक्षणे दर्शवतात तुमचे दात किडत आहेत, किड्यांपासून बचाव करण्यासाठी काय...

ही 5 लक्षणे दर्शवतात तुमचे दात किडत आहेत, किड्यांपासून बचाव करण्यासाठी काय करावे? प्रभावी उपाय जाणून घ्या

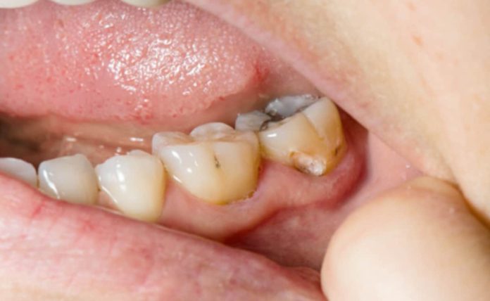
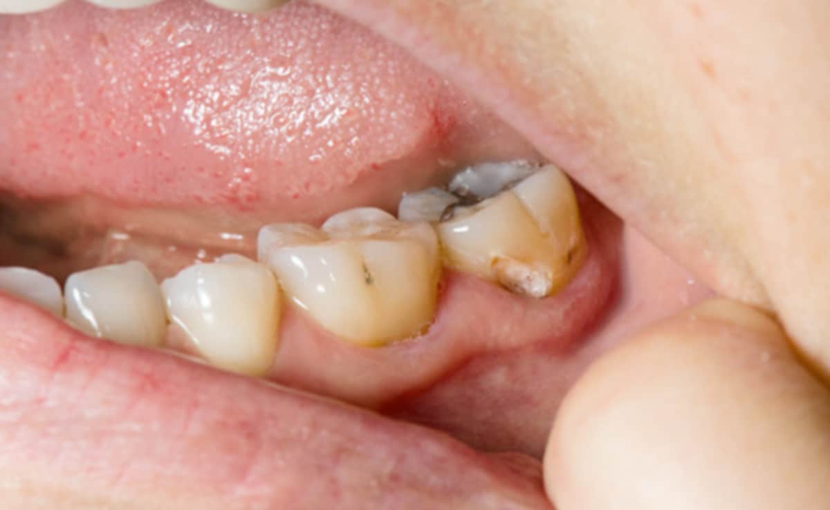
दात कुजण्याची लक्षणे: दातांची योग्य काळजी न घेतल्यास दात किडणे आणि जंत होण्याची समस्या सामान्य होऊ शकते. जर ते वेळीच थांबवले नाही तर वेदना, संसर्ग आणि दात गळणे देखील होऊ शकते. दात किडण्याची सुरुवातीची लक्षणे ओळखून आणि योग्य उपाययोजना करून तुम्ही ही समस्या टाळू शकता. लोक सहसा दातदुखीची तक्रार करतात, जे काहीवेळा दात किडणे आणि कीटकांच्या प्रादुर्भावामुळे होते. चला जाणून घेऊया दात किडण्याची 5 मुख्य लक्षणे आणि दात किडणे टाळण्यासाठी प्रभावी घरगुती उपाय.

दात किडण्याची 5 प्रमुख लक्षणे दात किडण्याची 5 मोठी लक्षणे

दात दुखणे किंवा संवेदनशीलता: जेव्हा तुम्ही थंड, गरम किंवा गोड पदार्थ खाता तेव्हा तुम्हाला अचानक दातांमध्ये वेदना किंवा संवेदनशीलता जाणवते. हे दात मुलामा चढवणे नुकसान लक्षण आहे.

दुर्गंधी: सतत दुर्गंधी येणे हे दातांमध्ये कीटक आणि बॅक्टेरियाच्या क्रियाकलापांचे लक्षण असू शकते.

दातांवर काळे किंवा तपकिरी डाग: जर तुमच्या दातांवर काळे किंवा तपकिरी डाग दिसत असतील तर ते दात किडण्याचे लक्षण असू शकते.

हेही वाचा : जर तुम्हाला ग्लोइंग स्किन हवी असेल तर ही गोष्ट कच्च्या दुधात मिसळा आणि रात्री झोपण्यापूर्वी लावा, तुमचा चेहरा चमकू लागेल.

हिरड्यांना रक्तस्त्राव किंवा सूज येणे: कुजलेले दात अनेकदा हिरड्यांवर परिणाम करतात, ज्यामुळे सूज आणि रक्तस्त्राव होऊ शकतो.

तुटलेले किंवा कमकुवत दात: जर दात कमकुवत झाले आणि तुटायला लागले तर याचा अर्थ दातांच्या मुळांना किंवा संरचनेला इजा झाली आहे.

किडे आणि किडण्यापासून दातांचे संरक्षण करण्याचे मार्ग. किडे आणि किडण्यापासून दातांचे संरक्षण करण्याचे मार्ग

दिवसातून दोनदा ब्रश करा: सकाळी आणि झोपण्यापूर्वी फ्लोराईड टूथपेस्टने ब्रश करणे सर्वात महत्वाचे आहे. त्यामुळे दात किडणे टाळण्यास मदत होते.

फ्लॉसिंग: दातांमध्ये अडकलेले अन्नाचे कण काढण्यासाठी फ्लॉस वापरा. हे प्लाक आणि बॅक्टेरिया वाढण्यापासून प्रतिबंधित करते.

तोंड स्वच्छ करण्यासाठी माउथवॉश: अँटीसेप्टिक माउथवॉशने धुतल्याने तोंडातील बॅक्टेरिया निघून जातात आणि दुर्गंधीपासून आराम मिळतो.

हेही वाचा: हॉलिवूड अभिनेत्री गॅल गॅडोटला गर्भधारणेच्या आठव्या महिन्यात मेंदूमध्ये रक्ताच्या गुठळ्या झाल्यामुळे तातडीची शस्त्रक्रिया करावी लागली.

गोड आणि जंक फूड टाळा: साखर आणि प्रक्रिया केलेले अन्न जास्त प्रमाणात सेवन केल्याने दातांमध्ये बॅक्टेरिया वाढतात. ते खाल्ल्यानंतर आपले तोंड पाण्याने स्वच्छ करण्यास विसरू नका.

दंतचिकित्सकाकडून नियमितपणे तपासणी करा: दर 6 महिन्यांनी दात तपासा. जर समस्या सुरुवातीच्या टप्प्यात आढळली तर मोठ्या उपचारांची आवश्यकता नाही.

घरगुती उपाय जे दात किडणे टाळू शकतात. घरगुती उपाय जे दात किडणे टाळू शकतात

मीठ आणि पाण्याने स्वच्छ धुवा: एक ग्लास कोमट पाण्यात अर्धा चमचा मीठ मिसळा आणि गार्गल करा. हे हिरड्यांचा दाह आणि बॅक्टेरिया कमी करते.

मोहरीचे तेल आणि मीठ यांचे मिश्रण: मोहरीच्या तेलात चिमूटभर मीठ मिसळा आणि दातांना आणि हिरड्यांना मसाज करा. यामुळे दात मजबूत होतात.

हेही वाचा : बद्धकोष्ठतेचा त्रास होत असेल तर ही गोष्ट पिठात मिसळण्यापूर्वी पिठात मिसळा, आराम मिळेल आणि पोट पूर्णपणे साफ होईल.

कडुलिंबाच्या दाताचे उपयोग: कडुनिंबात बॅक्टेरियाविरोधी गुणधर्म असतात, जे कीटकांपासून दातांचे संरक्षण करण्यास मदत करतात.

लवंग तेल: लवंगाचे तेल दातदुखी आणि किडण्यासाठी खूप गुणकारी आहे. ते कापसावर लावा आणि प्रभावित दातावर लावा.

दातांची योग्य काळजी घेतल्याने तुमचे दात निरोगी तर राहतातच शिवाय तुमचे स्मितही सुंदर होते. दात किडण्याच्या या लक्षणांकडे दुर्लक्ष करू नका आणि वेळीच डॉक्टरांचा सल्ला घ्या.

व्हिडिओ पहा: फॅटी लिव्हर रोग कोणाला होतो? जाणून घ्या डॉ. सरीन यांच्याकडून…

(अस्वीकरण: सल्ल्यासह ही सामग्री केवळ सामान्य माहिती प्रदान करते. ती कोणत्याही प्रकारे पात्र वैद्यकीय मताचा पर्याय नाही. अधिक तपशीलांसाठी नेहमी तज्ञ किंवा तुमच्या डॉक्टरांचा सल्ला घ्या. NDTV या माहितीची जबाबदारी घेत नाही.)


Source link

RELATED ARTICLES
- Advertisment -

Most Popular

भुसावळात इसमावर चाकू हल्ला; एक जखमी, उपचार सुरू

0
ब्रेकिंग न्यूज | भुसावळ (ता. १९ एप्रिल) : शहरात रविवारी रात्री दहा वाजेच्या सुमारास एका इसमावर अज्ञात व्यक्तीने छातीत चाकूने वार केल्याची धक्कादायक घटना घडली....

राज्यात ढगाळ हवामान, मेघगर्जनेसह वादळी पाऊस, कृषी विभागाचा शेतकऱ्यांना सतर्कता इशारा!

संभाव्य हवामान बदल लक्षात घेऊन योग्य ते प्रतिबंधात्मक उपाययोजना करण्याचे कृषी विभागाकडून शेतकऱ्यांना आवाहन.. पोलीस वार्ता, मुंबई : राज्यात पश्चिम भागात, घाट परिसर, खानदेश, मराठवाडा...

सोशल मीडियावर कोणतीही अफवा शेअर करताना खबरदारी बाळगावी -नाशिक पोलीस!

महिला छळ प्रकरणात पोलिसांनी तात्काळ व कठोर कारवाई केली असून नागरिक, माध्यमांकडून मिळालेल्या प्रतिसादाबद्दल पोलिसांनी आभार व्यक्त केले.. पोलीस वार्ता, नाशिक : शहरात घडलेल्या एका...

बैंक सुरक्षा को लेकर बुरहानपुर पुलिस अलर्ट

0
बुरहानपुर पुलिस द्वारा जिले में बैंकों की सुरक्षा व्यवस्था का निरीक्षण बैंक सुरक्षा चेकिंग को लेकर थाना प्रभारियों एवं स्टाफ ने किया व्यापक निरीक्षण दिनांक 18.04.2026...

“बुरहानपुर पुलिस का अनोखा अभियान

0
‘सृजन, सम्मान और अभिमन्यु’ से बालिकाओं को बनाया सशक्त” बुरहानपुर, 18 अप्रैल 2026 (प्रेस नोट): महिलाओं एवं बालिकाओं की सुरक्षा और सशक्तिकरण के उद्देश्य से बुरहानपुर...

भुसावळात इसमावर चाकू हल्ला; एक जखमी, उपचार सुरू

0
ब्रेकिंग न्यूज | भुसावळ (ता. १९ एप्रिल) : शहरात रविवारी रात्री दहा वाजेच्या सुमारास एका इसमावर अज्ञात व्यक्तीने छातीत चाकूने वार केल्याची धक्कादायक घटना घडली....

राज्यात ढगाळ हवामान, मेघगर्जनेसह वादळी पाऊस, कृषी विभागाचा शेतकऱ्यांना सतर्कता इशारा!

संभाव्य हवामान बदल लक्षात घेऊन योग्य ते प्रतिबंधात्मक उपाययोजना करण्याचे कृषी विभागाकडून शेतकऱ्यांना आवाहन.. पोलीस वार्ता, मुंबई : राज्यात पश्चिम भागात, घाट परिसर, खानदेश, मराठवाडा...

सोशल मीडियावर कोणतीही अफवा शेअर करताना खबरदारी बाळगावी -नाशिक पोलीस!

महिला छळ प्रकरणात पोलिसांनी तात्काळ व कठोर कारवाई केली असून नागरिक, माध्यमांकडून मिळालेल्या प्रतिसादाबद्दल पोलिसांनी आभार व्यक्त केले.. पोलीस वार्ता, नाशिक : शहरात घडलेल्या एका...

बैंक सुरक्षा को लेकर बुरहानपुर पुलिस अलर्ट

0
बुरहानपुर पुलिस द्वारा जिले में बैंकों की सुरक्षा व्यवस्था का निरीक्षण बैंक सुरक्षा चेकिंग को लेकर थाना प्रभारियों एवं स्टाफ ने किया व्यापक निरीक्षण दिनांक 18.04.2026...

“बुरहानपुर पुलिस का अनोखा अभियान

0
‘सृजन, सम्मान और अभिमन्यु’ से बालिकाओं को बनाया सशक्त” बुरहानपुर, 18 अप्रैल 2026 (प्रेस नोट): महिलाओं एवं बालिकाओं की सुरक्षा और सशक्तिकरण के उद्देश्य से बुरहानपुर...
error: Content is protected !!